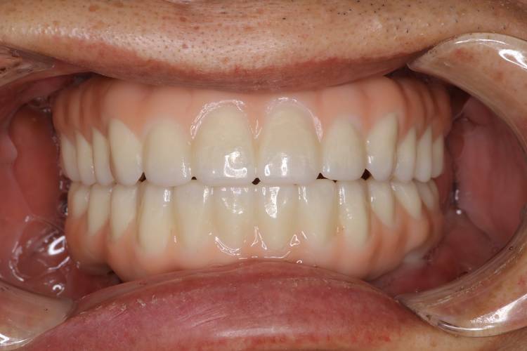
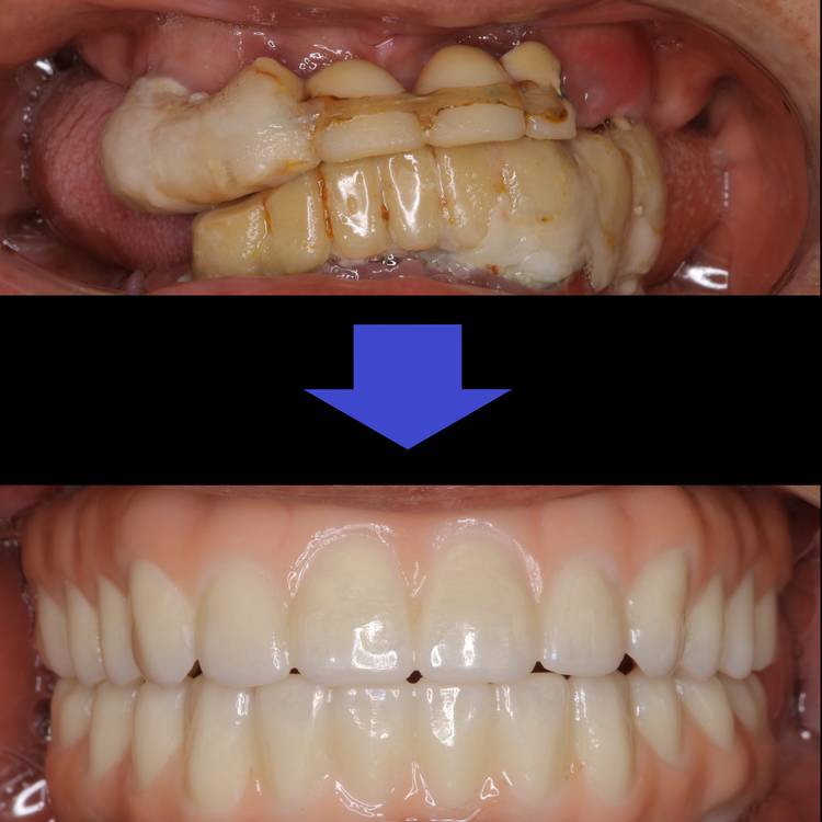
かとう歯科医院
https://ameblo.jp/the-implant-center/entry-12555812218.html ブログが更新されました。
LINE VOOM