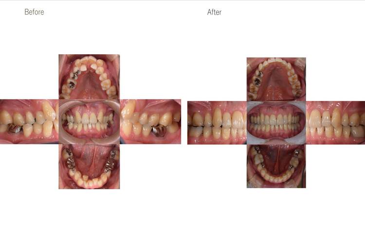
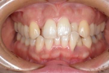
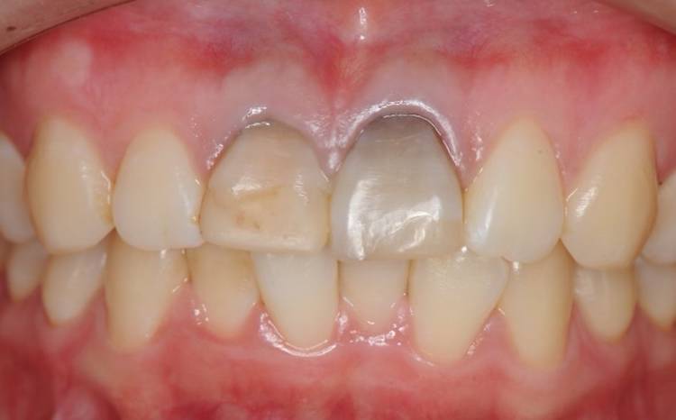
医療法人社団高志会あさい歯科クリニック

みなさんこんにちは! 本日は「成長期の食習慣と骨や歯の健康」についてお話をさせていただきます✨ カルシウムという言葉は皆さん良く耳にすると思いますが、 カルシウムは骨や歯はもちろん、健康の維持に重要な役割を果たす栄養素のひとつになります! 骨は吸収と形成を常に繰り返しています。 骨代謝には、新しく骨を作る働き(骨形成)と、古くなった骨を壊す働き(骨吸収)が必要です。 成長期には骨形成が骨吸収を...