醫z問

✨【今日大媒體焦點】✨
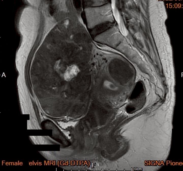
榜生婦幼聯盟菡生婦幼診所的曾宇泰院長提出了突破性的「二階式根除療法」,成功聯手海扶刀與內視鏡技術,有效擊退巨大子宮肌瘤。傳統的剖腹手術通常需要較長的恢復期,且對患者外觀產生影響。但隨著無創技術的進步,海扶刀已逐步應用於婦科手術中,不僅大幅減少手術創傷,還能顯著提升患者的術後生活質量。這項技術為子宮肌瘤患者帶來了全新的治療選擇!💪
完整報導:https://ec112.so