ディスティーノ
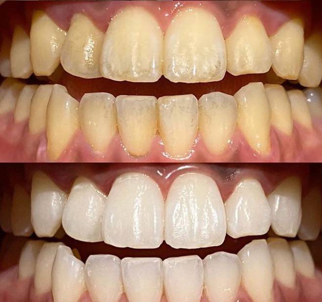
アクアエラ ビフォーアフター
LINE VOOM